W Zabrzu wykonano drugi na świecie przeszczep płuc u pacjenta z zespołem Mounier-Kuhna

2023-03-16 20:41

W Zabrzu lekarze ze Śląskiego Centrum Chorób Serca wykonali przeszczep obu płuc u chorego z zespołem Mounier-Kuhna. Do tej pory opisano około 300 przypadków, na świecie żyje około 125 osób, u których zdiagnozowano tę chorobę. Lekarze tylko raz wcześniej zdecydowali się na przeszczep płuc u chorego z tym zespołem.

39-letni Pan Jacek zmaga się z ciężką niewydolnością oddechową. Od ponad dwóch lat był na aktywnej liście oczekujących na transplantacje płuc. Zespół anestezjologów i chirurgów z Zabrza potrzebował czasu na przygotowanie strategii zabiegu. Największą trudnością było zaintubowanie chorego oraz wykonanie zespoleń oskrzelowych przy olbrzymiej dysproporcji oskrzeli dawcy i biorcy.

Druk 3D pomógł w operacji

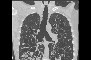
Stworzyliśmy druk 3D tchawicy i oskrzeli na podstawie obrazów tomografii komputerowej, który posłużył do opracowania techniki intubacji i wykonania operacji oskrzelowej. Zabieg nie byłby możliwy bez pomocy ECMO AV, ponieważ chory cierpiał również na ciężkie nadciśnienie płucne – informuje dr n. med. Maciej Urlik, kardiochirurg, specjalista transplantologii klinicznej ze Śląskiego Centrum Chorób Serca w Zabrzu. 

Bardzo skomplikowana operacja trwała zajęła lekarzom aż 13 godzin.

Oskrzela dawcy zostały wykorzystane jako rusztowanie dla osłabionych oskrzeli biorcy. Zespolono je wykorzystując technikę teleskopową, która na co dzień jest unikana w wykonywaniu zespoleń oskrzelowych – opowiada dr n. med. Tomasz Stącel kardiochirurg, transplantolog kliniczny ze Śląskiego Centrum Chorób Serca w Zabrzu.

Pacjent obecnie przechodzi rehabilitację w Śląskim Centrum Chorób Serca w Zabrzu. - Mamy nadzieje, że wkrótce wróci do żony i dziecka – dodaje dr Maciej Urlik.

Przygotowując się do operacji zespół zgromadził bogaty materiał obrazowy i histopatologiczny, który posłuży do napisania artykułu, który będzie przewodnikiem dla innych zespołów, ponieważ dotąd nie było opisu, jak tego typu zabieg wykonywać z punktu widzenia chirurgicznego i anestezjologicznego.

Tak przebiegała operacja w Zabrzu

Zobacz zdjęcia

Bardzo rzadka nieprawidłowość rozwojowa

Zespół Mounier-Kuhna jest rzadką nieprawidłowością rozwojową o nieznanym pochodzeniu. Do tej pory nie zidentyfikowano mutacji genu, która powoduje schorzenie.

Na świecie opisano tylko około 300 przypadków choroby. Dotyczy ona młodych dorosłych, częściej występuje u mężczyzn. Charakteryzuje się osłabieniem lub zanikiem włókien elastycznych prowadzącym do patologicznego poszerzenia pierścieni chrzęstnych tchawicy oraz oskrzeli głównych. Rozpoznanie takie stawiane jest jeśli wymiar czołowy i strzałkowy średnicy tchawicy mierzony w badaniu tomografii komputerowej wynosi odpowiednio 25mm i 27mm u mężczyzn i 21mm i 23mm u kobiet.

Upośledzony klirens rzęskowy oraz zapadające się podczas oddychania główne drogi oddechowe prowadzą do nawracających infekcji z towarzyszącą znaczną ilością zalegającej ropnej wydzieliny. Leczenie pozostaje objawowe i skupia się przede wszystkim na leczeniu infekcji oraz poprawie klirensu śluzowo-rzęskowego. W pojedynczych przypadkach stosowano stentowanie zapadającej się tchawicy.